Thymus tumor in dog
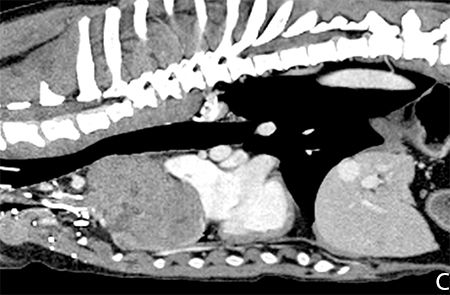
Thymus Tumor In Dog. The normal thymus is visualized in the cranioventral mediastinum in young dogs as an inverted wedge shape known as a sail sign Figure 1. 12 If dogs are presented for signs referable to the respiratory tract the most frequent abnormality seen in 52 to 58 of primary lung tumor patients is a chronic nonproductive cough that fails to respond to antimicrobial and symptomatic therapies. The aim of this retrospective multi-institutional study was to evaluate cases of canine TETs irrespective of subtype in order to. Clinical signs may have a late onset and thymoma is often diagnosed when symptoms related to the space-occupying effect or paraneoplastic syndromes occur.
Thymoma In Cats Dogs An Important Cancer Criticalcaredvm From criticalcaredvm.com
Middle-aged or older dogs can be affected and no sex predilection exists. A thymoma is a tumor originating from the epithelium layer of tissue covering the thymus of the thymus. Thymomas may cause cranial caval syndrome hypercalcemia aspirational pneumonia andor myasthenia gravis. There is no sex predilection and some breeds seem to be overrepresented such as Labrador retrievers Alsatians and Golden retrievers 278101317. Affected cats are usually older than 9 years of age. Thymoma is a rare tumor that most commonly affects medium to large breed dogs and is most often found in the Labrador and German Shepherd breeds.
The normal thymus is visualized in the cranioventral mediastinum in young dogs as an inverted wedge shape known as a sail sign Figure 1.
CT and fine-needle aspirates or core biopsies are helpful in differential diagnosis but flow cytometry may improve the. Thymoma is an uncommon canine and feline neoplasm of thymic epithelial cells. Thymoma is a tumor of the thymus gland which is part of your dogs lymph system. Thymic tumors usually affect older animals with a mean age of 9 to 10 years although one case of a 1-year-old pug has been described. You can see tissue and bone much better in person when viewing these X-rays with the naked eye. In the presented case series the median age at presentation was 10 years and.
Source: puppyup.org
The normal thymus is visualized in the cranioventral mediastinum in young dogs as an inverted wedge shape known as a sail sign Figure 1. Thymoma is a rare tumor that most commonly affects medium to large breed dogs and is most often found in the Labrador and German Shepherd breeds. The risk of TLS needs to be evaluated in dogs with the tumors containing radiosensitive components and treated with RT such as thymoma. While there has been no particular breed predisposition for thymoma development it seems that medium and large sized dogs are afflicted more often than smaller breeds. Thymic tumors usually affect older animals with a mean age of 9 to 10 years although one case of a 1-year-old pug has been described.
Source: dvm360.com
The aim of this retrospective multi-institutional study was to evaluate cases of canine TETs irrespective of subtype in order to. The thymus is an organ in front of the heart in the rib cage in which T lymphocytes mature and multiply. A thymoma is a tumor originating from the epithelium layer of tissue covering the thymus of the thymus. Middle-aged or older dogs average age of 11 years can be affected and no sex predilection exists. 12 If dogs are presented for signs referable to the respiratory tract the most frequent abnormality seen in 52 to 58 of primary lung tumor patients is a chronic nonproductive cough that fails to respond to antimicrobial and symptomatic therapies.
Source: animalsurgicalcenter.com
Thymomas are rare tumors that arise from the epithelium lining of the thymus gland in the dog and cat. Sarah Schmid provides the internal medicine perspective on this thymoma case. Common clinical signs include coughing and changes to a pets breathing rate andor effort. Surgical removal of encapsulated thymomas may result in long-term survival or cure. Thymoma is a tumor that arises from cells of the thymus an organ present in all mammals responsible for normal immune cell T-lymphomcyte maturation.
Source: criticalcaredvm.com
Thymoma is a tumor that arises from cells of the thymus an organ present in all mammals responsible for normal immune cell T-lymphomcyte maturation. THYMUS GLAND TUMOR IN DOG. Middle-aged or older dogs can be affected and no sex predilection exists. Thymoma is an uncommon cancer of the thymus gland found in the cranial mediastinum of cats and dogs. Thymic tumors usually affect older animals with a mean age of 9 to 10 years although one case of a 1-year-old pug has been described.
Source: semanticscholar.org
Interestingly mice with thymic tumor displayed highly enlarged spleen which seemed to be histologically disorganized Fig. The risk of TLS needs to be evaluated in dogs with the tumors containing radiosensitive components and treated with RT such as thymoma. Thymoma in an 11-year-old dog. Middle-aged or older dogs can be affected and no sex predilection exists. 75 response rate in cats and dogs with thymomas including 20 CR.
Source: onlinelibrary.wiley.com
Thymoma in Dogs. Pneumonitis and pericarditis Chemotherapy. Thymus being one of the primary lymphoid organs we also investigated the immune compartment notably thanks to spleen analysis. Thymoma in an 11-year-old dog. Rated 4 out of 5 based on 1 customer rating.
Source: wagwalking.com
Middle-aged or older dogs average age of 11 years can be affected and no sex predilection exists. Common clinical signs include coughing and changes to a pets breathing rate andor effort. Thymoma is a tumor rarely reported in dogs and should be differentiated from mediastinal lymphoma. Middle-aged or older dogs can be affected and no sex predilection exists. In the presented case series the median age at presentation was 10 years and.
Source:
The thymus is an organ in front of the heart in the rib cage in which T lymphocytes mature and multiply. There is no breed predilection but medium and large dogs are overrepresented. CT and fine-needle aspirates or core biopsies are helpful in differential diagnosis but flow cytometry may improve the. Middle-aged or older dogs can be affected and no sex predilection exists. It is seen in various breeds but may occur more frequently in Labrador Retriever and German Shepherd Dogs.
Source: animalsurgicalcenter.com
SWALLOWED STONES-DOG 1500 2000. They are typically diagnosed in older animals with the median age in dogs being 9 years and in cats it is 10 years. While there has been no particular breed predisposition for thymoma development it seems that medium and large sized dogs are afflicted more often than smaller breeds. There is no sex predilection and some breeds seem to be overrepresented such as Labrador retrievers Alsatians and Golden retrievers 278101317. Surgical removal of encapsulated thymomas may result in long-term survival or cure.
Source: mdpi.com
While there has been no particular breed predisposition for thymoma development it seems that medium and large sized dogs are afflicted more often than smaller breeds. Middle-aged or older dogs can be affected and no sex predilection exists. Previous attempts at histologic classification have varied and as such reliable prognostic information is unavailable. Sarah Schmid provides the internal medicine perspective on this thymoma case. The normal thymus is visualized in the cranioventral mediastinum in young dogs as an inverted wedge shape known as a sail sign Figure 1.
Source:
Clinical signs may have a late onset and thymoma is often diagnosed when symptoms related to the space-occupying effect or paraneoplastic syndromes occur. It is seen in various breeds but may occur more frequently in German Shepherd Dogs. Thymoma is an uncommon canine and feline neoplasm of thymic epithelial cells. Thymomas are rare tumors that arise from the epithelium lining of the thymus gland in the dog and cat. While there has been no particular breed predisposition for thymoma development it seems that medium and large sized dogs are afflicted more often than smaller breeds.
Source: buyxraysonline.com
They are typically diagnosed in older animals with the median age in dogs being 9 years and in cats it is 10 years. This report suggests that the risk of TLS should be evaluated in. Thymomas may cause cranial caval syndrome hypercalcemia aspirational pneumonia andor myasthenia gravis. Indeed white pulp seemed larger and less organized and dense as it can be. THYMUS GLAND TUMOR IN DOG.
If you find this site helpful, please support us by sharing this posts to your own social media accounts like Facebook, Instagram and so on or you can also save this blog page with the title thymus tumor in dog by using Ctrl + D for devices a laptop with a Windows operating system or Command + D for laptops with an Apple operating system. If you use a smartphone, you can also use the drawer menu of the browser you are using. Whether it’s a Windows, Mac, iOS or Android operating system, you will still be able to bookmark this website.




